Apa itu Psoriasis Arthritis?
Psoriasis arthritis adalah kondisi radang sendi yang menyakitkan dan inflamasi, yang dapat terjadi pada hingga sekitar 30% pasien psoriasis.
Siapa yang Mengalaminya?
- Prevalensi sekitar 1–2 per 1.000 orang, dengan 4–30% dari pasien psoriasis mengalami psoriasis arthritis.
- Umumnya muncul pada usia 30–50 tahun, tetapi dalam 13–17% kasus, radang sendi muncul lebih dulu sebelum gejala kulit.
- Menyerang pria dan wanita secara merata, dan sering bersifat progresif dan kronis seumur hidup.
Artritis psoriatik memiliki insidensi sekitar 6 per 100.000 per tahun dan prevalensi sekitar 1-2 per 1000 pada populasi umum. Perkiraan prevalensi artritis psoriatik pada pasien psoriasis berkisar antara 4 dan 30 persen. Pada sebagian besar pasien, artritis muncul 10 tahun setelah tanda-tanda pertama psoriasis kulit. Tanda-tanda pertama artritis psoriatik biasanya muncul antara usia 30 dan 50 tahun. Pada sekitar 13-17% kasus, artritis mendahului penyakit kulit.


Pria dan wanita sama-sama terpengaruh. Gejala psoriasis arthritis datang dan pergi, tetapi kondisi ini berlangsung seumur hidup dan biasanya progresif.
Pasien dengan psoriasis yang lebih mungkin terkena radang sendi di kemudian hari termasuk mereka yang memiliki karakteristik berikut:
- Penyakit kuku psoriasis
- Psoriasis fleksural , psoriasis kulit kepala atau psoriasis pasca-aurikular
- Kegemukan
- Perokok
- Peningkatan protein C-reaktif ( CRP ) pada awal penelitian.


Klasifikasi artritis psoriatis
psoriasis arthritis adalah salah satu bentuk spondiloartritis . Spondiloartritis adalah istilah umum yang digunakan untuk menggambarkan serangkaian gangguan, termasuk spondilitis ankilosa, spondiloartritis aksial non-radiografik , artritis psoriatik, artritis reaktif , artritis enteropatik, dan spondiloartritis tak terdiferensiasi. Berbagai bentuk spondiloartritis ini memiliki beberapa kesamaan klinis:
- Peradangan sendi aksial (terutama sendi sakroiliaka)
- Oligoartritis asimetris(terutama pada ekstremitas bawah)
- Daktilitis : ‘jari sosis’ (jari tangan atau kaki yang sangat bengkak dan tampak seperti sosis)
- Entesitis : nyeri dan pembengkakan pada insersi tendon dan ligamen, biasanya pada tumit, tuberositas tibialis, dan humerus; kondisi ini memengaruhi hingga 53% pasien dengan artritis psoriatis.
- Faktor Reumatoid Negatif
- Positif HLA -B27: HLA-B27 merupakan protein spesifik yang terlibat dalam regulasi imun. 57% pasien artritis psoriatis dengan keterlibatan aksial positif HLA-B27.
- Kerentanan genetik terhadap kondisi/riwayat keluarga
- Ciri-ciri radiologi yang khas .
Apa penyebab psoriasis arthritis?
Faktor utama yang berkontribusi terhadap perkembangan artritis psoriatis adalah kecenderungan genetik , faktor imun, dan lingkungan.?
Faktor utama yang berkontribusi terhadap perkembangan artritis psoriatis adalah kecenderungan genetik , faktor imun, dan lingkungan.
Predisposisi genetik
Seperti halnya [psoriasis] kulit, banyak pasien psoriasis arthritis mungkin memiliki kecenderungan familial terhadap kondisi tersebut. Sebuah studi tentang anak kembar menemukan bahwa psoriasis arthritis sama umum terjadi pada kembar dizigotik (fraternal) seperti pada kembar monozigotik (identik), sehingga faktor lingkungan yang tidak diketahui mungkin juga penting. Kerabat tingkat pertama pasien psoriasis arthritis memiliki risiko 50 kali lipat lebih tinggi terkena psoriasis arthritis dibandingkan dengan populasi umum. Belum jelas apakah hal ini disebabkan oleh dasar genetik psoriasis saja, atau apakah terdapat predisposisi genetik khusus terhadap arthritis juga.
Faktor kekebalan tubuh
Psoriasis arthritis terjadi akibat interaksi abnormal antara sistem kekebalan tubuh dan persendian. Pasien psoriasis arthritis tampaknya memiliki sistem kekebalan tubuh yang terlalu aktif, terbukti dengan peningkatan penanda inflamasi, peningkatan antibodi, dan limfosit T.
Sel T teraktivasi (khususnya sel T CD8+) umumnya ditemukan pada kulit dan sendi pasien psoriasis arthritis. Beberapa penelitian telah menunjukkan bahwa sitokin pro-inflamasi yang disekresikan oleh sel T teraktivasi (terutama faktor nekrosis tumor alfa (TNF-α), IL-17, IL-18, dan IL-23) menginduksi proliferasi dan aktivasi fibroblas sinovial dan epidermis. Sel CD8+, IL-17+, sel pembunuh alami (NK), dan sel limfoid bawaan (ILC3) terdapat dalam konsentrasi tinggi dalam cairan sinovial dan lesi kulit pada pasien psoriasis arthritis.
Lingkungan
Faktor lingkungan yang berperan dalam patogenesis psoriasis arthritis mencakup infeksi, seperti infeksi bakteri (misalnya streptokokus dan Borrelia burgdorferi, penyebab penyakit Lyme) serta infeksi virus seperti rubella. Faktor lain termasuk trauma (misalnya fenomena Koebner), pindah ke rumah baru, sariawan berulang, obesitas, dan patah tulang.
Menariknya, hubungan terbalik antara merokok dan psoriasis arthritis telah dilaporkan, terutama pada pasien dengan alel HLA-C*06 negatif.
Apa saja Gejala Psoriasis Arthritis
Manifestasi sendi
- Artritis distal
Jenis ini terutama menyerang sendi-sendi kecil di ujung jari tangan dan kaki (sendi interfalang distal). Sering disertai perubahan kuku, seperti titik-titik kecil atau kuku terlepas sebagian. - Oligoartritis asimetris (60%)
Merupakan bentuk paling umum. Hanya beberapa sendi (biasanya kurang dari lima) yang terkena, dan tidak simetris (misalnya hanya satu lutut atau satu pergelangan tangan). - Poliartritis simetris
Menyerupai rheumatoid arthritis, memengaruhi lima atau lebih sendi di kedua sisi tubuh secara simetris, seperti kedua tangan atau kedua lutut. - Spondyloarthritis (keterlibatan aksial)
Melibatkan tulang belakang dan sendi sakroiliaka (di panggul). Gejalanya bisa berupa nyeri punggung bawah yang memburuk saat istirahat dan membaik dengan aktivitas. - Artritis mutilasi (5%)
Bentuk paling parah dan jarang. Menyebabkan kerusakan sendi yang cepat dan deformitas berat, termasuk pemendekan jari atau jari melengkung secara tidak normal.
Psoriasis arthritis dapat memengaruhi sendi besar maupun kecil.
- Keterlibatan sendi interfalang distal merupakan salah satu ciri khasnya, meskipun sering kali sulit dibedakan dari osteoartritis.
- Gejala umum meliputi nyeri sendi, pembengkakan, dan kekakuan.
- Masalah yang sering dialami pasien termasuk kesulitan menggunakan tangan, berdiri dalam waktu lama, dan berjalan.
- Jika tidak ditangani dengan baik, psoriasis arthritis dapat menyebabkan kerusakan sendi yang signifikan dan tingkat keparahannya bisa setara dengan rheumatoid arthritis.
Psoriasis Pada Kuku
Lesi kuku terjadi pada sekitar 90% pasien psoriasis arthritis. Tingkat keparahan keterlibatan kuku akibat psoriasis sering kali berkorelasi dengan luas dan beratnya keterlibatan kulit maupun sendi.
- Distrofi kuku akibat psoriasis dapat sulit dibedakan dari infeksi jamur kuku.
- Beberapa ciri khas kelainan kuku pada psoriasis antara lain:
- Lubang kuku: berupa cekungan kecil pada permukaan kuku yang muncul akibat pengelupasan sel-sel pada lempeng kuku.
- Onikolisis: lepasnya kuku dari dasar kuku.
- Hiperkeratosis subungual distal: penebalan kulit di bawah ujung kuku.
- Perdarahan serpihan: munculnya garis-garis kecil berwarna merah kehitaman di bawah kuku akibat perdarahan pembuluh darah kecil.
Ciri Ciri Lain dari Psoriasis Arthritis
- Enthesitis Peradangan pada enthesis, yaitu titik perlekatan tendon atau ligamen ke tulang. Ini bisa menyebabkan nyeri, terutama pada tumit, bagian bawah kaki, atau sekitar siku.
- Dactylitis Disebut juga “jari sosis”, yaitu pembengkakan menyeluruh pada jari tangan atau kaki akibat peradangan sendi dan jaringan di sekitarnya. Sering menjadi tanda khas psoriasis arthritis.
- Kelelahan (Fatigue) Rasa lelah yang berlebihan dan berkepanjangan, yang tidak membaik meskipun sudah beristirahat. Ini umum terjadi pada penyakit autoimun dan dapat memengaruhi kualitas hidup.
- Sariawan (Mouth ulcers) Luka kecil yang menyakitkan di dalam mulut. Tidak selalu muncul, tapi bisa terjadi sebagai bagian dari gejala sistemik psoriasis arthritis.
Komorbiditas yang terkait dengan Psoriasis Arthritis
- Keterlibatan mata : uveitis (7%) dan konjungtivitis (20%).
- Penyakit kardiovaskular
- Penyakit radang usus
- Sindrom metabolik
- Hipertensi
- Diabetes
- Aterosklerosis
- Depresi dan kecemasan.
Apa hubungan psoriasis arthritis dengan psoriasis pada kulit?
Sebagian besar orang dengan psoriasis arthritis pada akhirnya akan menunjukkan tanda-tanda pada kulit. Sekitar 75% pasien mengalami psoriasis kulit terlebih dahulu, kemudian diikuti dengan gejala sendi. Sekitar 10% pasien mengalami gejala kulit dan sendi secara bersamaan, sementara 15% lainnya justru mengalami gejala sendi sebelum munculnya kelainan kulit.
Tingkat keparahan psoriasis kulit tidak selalu mencerminkan tingkat keparahan gejala sendi.
Bentuk psoriasis kulit yang paling umum ditemukan pada pasien psoriasis arthritis adalah psoriasis plak. Gejala sendi dapat memburuk saat psoriasis kulit kambuh, namun secara umum, gejala kulit dan gejala sendi dapat terjadi secara independen. Kebanyakan pasien psoriasis arthritis hanya mengalami psoriasis kulit ringan.
Bagaimana Psoriasis Arthritis Di Diagnosis?
Diagnosis Psoriasis Arthritis
Diagnosis psoriasis arthritis didasarkan pada gejala klinis, pemeriksaan kulit dan sendi, serta temuan radiologis (rontgen) yang sesuai. Proses diagnosis bisa menjadi tantangan karena variasi gejala yang muncul pada tiap individu. Psoriasis arthritis tidak selalu muncul dalam bentuk pembengkakan sendi seperti pada artritis lainnya. Gejalanya bisa berupa tendinitis, entesitis, atau daktilitis.
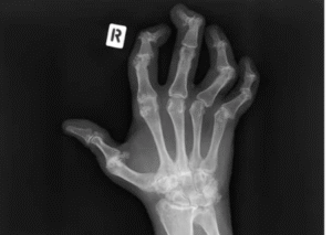
Temuan Sinar-X pada Psoriasis Arthritis
Beberapa perubahan khas yang dapat terlihat melalui sinar-X meliputi:
- Perubahan pada sendi-sendi ujung jari tangan dan kaki
- Keterlibatan sendi yang asimetris, terutama pada sendi sakroiliaka
- Erosi: kerusakan pada tulang dan tulang rawan yang berdekatan dengan ruang sendi
- Deformitas “pensil dalam cangkir”: akibat erosi periartikular dan resorpsi tulang, sehingga tulang tampak seperti pensil yang masuk ke dalam cangkir
- Subluksasi: pergeseran posisi sendi dari keselarasan normalnya
- Ankilosis: penyatuan tulang melintasi ruang sendi, yang menyebabkan kekakuan permanen
- Pertumbuhan tulang baru yang tipis dan padat di sekitar sendi, dikenal sebagai “kumis” dan “taji” tulang
- Pengendapan garam kalsium di area perlekatan ligamen dan tendon ke tulang, serta tanda-tanda lain dari entesopati
- Falang gading: peningkatan kepadatan tulang (radiodensitas) pada seluruh falang akibat pembentukan tulang periosteal dan endosteal
Sinar-X pada Psoriasis Arthritis



Kondisi lain dengan temuan klinis dan sinar-X yang serupa dengan artritis psoriatis meliputi:
- Artritis reumatoid
- Encok
- Osteoartritis
- Artritis reaktif
- Spondilitis ankilosa .
MRI dan USG juga dapat membantu diagnosis, dengan mengidentifikasi entesitis, tendinitis, dan peradangan ligamen.
Tidak ada tes darah diagnostik untuk artritis psoriatis tetapi tes dapat dilakukan untuk membantu memastikan diagnosis dan menyingkirkan penyebab lain.
- Penanda peradangan, ESR ( laju sedimentasi eritrosit ) dan CRP, dapat mencerminkan tingkat keparahan peradangan pada persendian.
- Faktor reumatoid biasanya negatif tetapi mungkin positif hingga 10% pada pasien dengan artritis psoriatis.
- Anti-CCP ( anti- cyclic citrullinated peptide ) juga biasanya negatif tetapi mungkin positif hingga 7% pada pasien dengan artritis psoriatis.
- Pengujian HLA-B27
Kriteria klasifikasi, seperti kriteria CASPAR, umumnya digunakan untuk tujuan penelitian, bukan diagnosis klinis.
Selain itu, beberapa kuesioner skrining juga telah dikembangkan untuk membantu mengidentifikasi pasien dengan psoriasis arthritis, salah satunya adalah Toronto Psoriatic Arthritis Screen (ToPAS2).
Perawatan apa yang tersedia untuk Psoriasis Arthritis?
Beberapa pengobatan untuk psoriasis arthritis juga efektif dalam menangani psoriasis kulit, sehingga rencana perawatan sebaiknya mempertimbangkan kondisi kulit dan sendi secara bersamaan.
Prinsip utama pengobatan meliputi pendekatan dini dan agresif untuk mencegah deformitas sendi dan komplikasi jangka panjang (morbiditas). Pilihan terapi bergantung pada manifestasi penyakit, termasuk:
- Pola keterlibatan sendi
- Tingkat keparahan keterlibatan sendi dibandingkan dengan kulit
- Keterlibatan jaringan non-artikular (seperti entesis atau daktilitis)
Selain itu, keputusan pengobatan juga dipengaruhi oleh faktor-faktor seperti:
- Keamanan pengobatan terkait komorbiditas
- Tolerabilitas pasien terhadap obat
- Preferensi pasien dalam menentukan pilihan terapi
Strategi Penanganan Non-Farmakologis
Pendekatan non-obat juga sangat penting, mencakup:
Fisioterapi dan terapi okupasi
- Olahraga teratur yang sesuai dengan kondisi pasien
- Penggunaan alat bantu atau ortotik
- Edukasi mengenai penyakit, perlindungan sendi, pengelolaan penyakit, dan pemakaian obat secara bijak
- Dukungan untuk menurunkan berat badan, serta pengelolaan faktor risiko kardiovaskular dan komorbiditas lainnya
Langkah pertama
Jika radang sendi bersifat ringan dan terbatas pada beberapa sendi dan penyakit kulit tidak parah, kulit diobati dengan terapi topikal atau fototerapi dan penyakit sendi ditangani dengan penghilang rasa sakit (obat antiinflamasi nonsteroid , panas dan es) dan mungkin suntikan kortikosteroid ke dalam sendi.
Langkah Ke dua
Obat antirematik pengubah penyakit non-biologis (DMARD) meredakan gejala nyeri dan kekakuan, tetapi belum ada yang terbukti mencegah kerusakan sendi progresif dan semuanya berpotensi menimbulkan efek samping serius. Obat-obatan berikut memiliki efek menguntungkan pada penyakit sendi dan psoriasis:
- Metotreksat
- Siklosporin
- Leflunomida
- Apremilast .
Steroid sistemik dapat membantu mengatasi radang sendi tetapi sering kali dapat menyebabkan kambuhnya psoriasis jika dosisnya dikurangi atau dihentikan.
Langkah Ke Tiga
DMARD biologis: Inhibitor TNF-alfa
Pengubah respons biologis yang dilisensikan untuk digunakan pada artritis psoriatis adalah:
- Adalimumab
- Etanercept
- Infliximab
- Golimumab.
Langkah ke Empat
- Agen lain yang sedang diteliti atau telah tersedia meliputi:
- Abatacept: modulator ko-stimulasi sel T selektif (CTLA4-Ig)
- Tofacitinib: penghambat Janus kinase (JAK1 dan JAK3)
- Secukinumab, Brodalumab, Ixekizumab: terapi anti-IL-17
- Ustekinumab: antibodi monoklonal manusia terhadap subunit p40 yang sama dari IL-12 dan IL-23
- Filgotinib: penghambat JAK1
- Guselkumab: antibodi monoklonal terhadap interleukin (IL)-23
- Upadacitinib: penghambat JAK
Langkah ke Lima
Dalam beberapa kasus, penyakit sendi mungkin memerlukan operasi
ortopedi
Apa Prognosis Jangka Panjang untuk Psoriasis Arthritis?
Sebagian besar pasien dengan psoriasis arthritis akan mengalami gejala artritis yang menetap sepanjang hidup mereka. Remisi jarang terjadi; hanya sekitar kurang dari 20% pasien yang mengalami remisi, dan kurang dari 10% yang mencapai remisi total tanpa pengobatan, serta tanpa tanda-tanda kerusakan sendi pada pemeriksaan radiologis.
Pasien dengan psoriasis arthritis berat dilaporkan memiliki harapan hidup yang lebih pendek dibandingkan dengan populasi umum
Fitur-fitur yang berhubungan dengan prognosis yang relatif baik adalah:
- Jenis kelamin laki-laki
- Lebih sedikit sendi yang terlibat
- Status fungsional baik saat presentasi
- Remisi gejala sebelumnya.