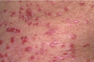
Psoriasis gutata adalah bentuk psoriasis akut yang digambarkan sebagai bercak kecil, merah muda-merah, dan bersisik.‘tetesan air hujan’ yang jatuh ke tubuh.



Siapa yang terkena psoriasis guttate?
Psoriasis gutata cenderung menyerang anak-anak dan dewasa muda; psoriasis ini merupakan bentuk psoriasis kedua yang paling umum pada anak-anak setelah psoriasis plak kronis . Psoriasis gutata dapat dialami oleh semua jenis kelamin dan ras . Psoriasis gutata seringkali merupakan manifestasi psoriasis pertama pada seseorang, tetapi juga dapat ditemukan pada mereka yang telah diketahui menderita psoriasis kronis .
Apa penyebab psoriasis guttate?
Psoriasis gutata biasanya berkembang 1–2 minggu setelah infeksi streptokokus pada saluran pernapasan atas, terutama tonsilitis, atau infeksi lain seperti dermatitis streptokokus perianal . Streptokokus beta- hemolitik dapat secara langsung merangsang proliferasi sel T homing kulit di amandel.
Psoriasis gutata dilaporkan terjadi setelah infeksi SARS-CoV-2 ( COVID-19 ) dan infeksi virus lainnya seperti coxsackievirus. [lihat Infeksi enterovirus ]
Apa saja ciri klinis psoriasis guttate?
- Onset akut dalam beberapa hari
- Banyak bercak kecil (<1 cm)
- Bercak atau plak psoriasis berwarna merah muda, bersisik, dan tipis
- Skala mungkin tidak kentara pada lesi awal
- Lesi yang tersebar luas terutama pada badan dan anggota badan
- Lesi pada wajah, kulit kepala, dan telinga cenderung samar dan berumur pendek
Dermoskopi psoriasis gutata
- Bejana bertitik merah yang terdistribusi secara seragam
- Skala abu-abu-putih yang menyebar
- Latar belakang merah cerah, merah kusam, atau merah muda
Fitur-fitur dermoskopi ini bersifat diagnostik dan terlihat pada semua jenis kulit.
Apa komplikasi dari psoriasis guttate?
- Dampak psikososial dan penurunan kualitas hidup
- Komplikasi psoriasis misalnya sindrom metabolik , penyakit hati berlemak non-alkohol [lihat Masalah hati dan psoriasis ]
- Dispigmentasi pada kulit berwarna
Bagaimana psoriasis guttate didiagnosis?
Psoriasis gutata adalah diagnosis klinis, dibantu oleh dermoskopi, yang dapat dikonfirmasi pada biopsi kulit .
Pemeriksaan dan investigasi harus mencakup pencarian infeksi streptokokus.
Pengujian dapat meliputi:
- Swab untuk bakteriologi
- Tes darah — Titer anti-streptolysin O (ASOT), titer anti-DNase B.
Apa diagnosis banding untuk psoriasis guttate?
- Pitiriasis rosea
- Pitiriasis lichenoides kronik
- Sifilis sekunder
Apa pengobatan untuk psoriasis guttate?
- Pengobatan infeksi streptokokus aktif terkait dengan antibiotik
- Namun, antibiotik jarang membantu mengatasi ruam psoriasis gutata.
- Fototerapi UVB pita sempit
- Emolien
- Tonsilektomi untuk episode berulang
Apa hasil untuk psoriasis guttate?
Psoriasis gutata seringkali sembuh dalam 3-4 bulan, bahkan tanpa pengobatan. Pasien dengan infeksi streptokokus yang terbukti memicu psoriasis gutata memiliki prognosis yang baik. Namun, psoriasis gutata dapat kambuh dengan episode infeksi streptokokus berikutnya.
Psoriasis gutata dapat menjadi persisten dan berkembang menjadi psoriasis plak kronis . Dalam sebuah studi terhadap lebih dari 190.000 pasien dengan psoriasis gutata, 12,5% kemudian berkembang menjadi psoriasis plak kronis, dengan setengah dari kasus ini terjadi dalam satu tahun setelah presentasi awal psoriasis gutata.